会员中心

协会简介

更多

中国非公立医疗机构协会经国务院批准,于2014年在北京成立,是全国唯一从事非公立医疗卫生机构行业服务和行业管理的国家级行业组织,英文名称为Chinese Non-government Medical Institutions Association(CNMIA),眼科专业委员会成立于2016年。

首页 > 医学培训 > 学习资料

星空状的玻璃疣,预示大大增加黄斑变性发生率

发布时间:2025/05/23

作者:医学界眼科频道

糖尿病患者眼底发现“星空样”玻璃疣


一名57岁的女性糖尿病患者,糖尿病病史12年,既往无眼科疾病。患者因近期双眼逐渐视物不清伴右眼视物变形5年(曾被患者忽视)到眼科就诊。眼科检查显示:右眼最佳矫正视力0.2,左眼0.4。双眼眼前节检查未见异常。眼底检查可见双眼黄斑至周边区域散在均匀的黄色小型玻璃疣,并伴有中心凹反光消失(图1)。


图片

图1. 眼底照片显示双眼多处对称分布的玻璃疣,中心凹反光消失。

 

荧光素血管造影显示双眼玻璃疣呈现"星空样"高荧光,右眼黄斑中心区可见不均匀的晚期高荧光(图2)。而眼底自发荧光显示,右眼黄斑区低自发荧光,对应黄斑萎缩区域(图3)。

 

图片

图2. 荧光素血管造影显示,双眼玻璃疣表现为"星空样"高荧光外观,右眼黄斑中心区晚期高荧光。

 

图片

图3. 眼底自发荧光成像显示右眼黄斑萎缩。

 

为了进一步明确玻璃疣的性质,医生又进行了OCT和OCT血管成像(OCTA)检查。黄斑OCT检查显示,视网膜色素上皮层存在玻璃疣样脱离,呈"锯齿状"外观(图4)。而右眼OCTA显示脉络膜毛细血管层存在新生血管簇(图5)。

 

图片

图4. 黄斑OCT显示“锯齿状”外观。

 

图片

图5.OCTA显示脉络膜毛细血管层存在新生血管束。

 

医生初步诊断患者为双眼表皮玻璃疣(cuticular drusen);右眼脉络膜新生血管;双眼年龄相关性黄斑变性。此后,患者接受右眼玻璃体腔注射抗血管内皮生长因子(抗VEGF)治疗3次。在最后一次注射4周后,患者自述视物变形症状消失,右眼最佳矫正视力提升至0.4。OCTA复查显示新生血管簇消退(图6)。


图片

图6.OCTA复查显示,在三次抗VEGF治疗后,脉络膜新生血管束消失。


表皮玻璃疣与黄斑变性


Gass于1977年首次描述了一种圆形黄色小病灶,最初认为这些病灶是视网膜色素上皮基底膜的结节状增厚,故称为“基底膜玻璃疣”。然而后续病理学研究表明,该病变与传统玻璃疣具有相似的定位,均位于视网膜色素上皮基底膜与Bruch之间。因此,后来的研究人员将其重新命名为“表皮玻璃疣”,以强调其超微结构与传统玻璃疣的相似性。


表皮玻璃疣属于年龄相关性黄斑变性(AMD)谱系疾病,其患者群体相对年轻,以女性为主(患病率60%-92%)。值得注意的是,表皮玻璃疣的存在可能加重AMD发展。这是因为表皮玻璃疣随着时间的推移会经历增大、融合和消退的过程,最终可能导致视网膜色素上皮的异常,引起脉络膜新生血管或黄斑地图样萎缩[1]


Sakurada等人[2]对63只表皮玻璃疣患眼进行的5年回顾性研究显示:黄斑地图样萎缩累积发生率为28.4%,而脉络膜新生血管为8.7%。本例患者为女性患者,首诊发现表皮玻璃疣时,已经同时出现了黄斑新生血管和黄斑地图样萎缩。


表皮玻璃疣的多模态影像


临床上,单纯依靠眼底检查难以将表皮玻璃疣与其他类型玻璃疣相鉴别,尤其是当病灶主要位于周边视网膜时,易被误认为硬性玻璃疣或融合扩大的软性玻璃疣。而借助眼底造影、眼底自发荧光以及OCT等多模态影像技术,可使表皮玻璃疣的形态更加清晰地呈现。


表皮玻璃疣的荧光素血管造影:动静脉期可见"星空样"高荧光斑点,随造影时间持续增强,晚期缓慢消退。此现象被认为是色素上皮细胞基底膜三角状隆起侵蚀所致。临床医生可依据表皮玻璃疣的造影分布特征分型:黄斑型表皮玻璃疣,病灶主要密集分布于黄斑区,可扩展至血管弓外及视盘周围;弥漫型表皮玻璃疣,散在于后极部,向周边视网膜延伸并超越视神经鼻侧(图7)[3]

 

图片

7. 荧光素血管造影显示的表皮玻璃疣分布。(A)黄斑型表皮玻璃疣占32.9%患眼,(B)弥漫型占67.1%。弥漫型表皮玻璃疣不仅累及黄斑区,还向主要血管弓外围扩展。63.3%的患眼可见视盘周围区域存在表皮玻璃疣。

 

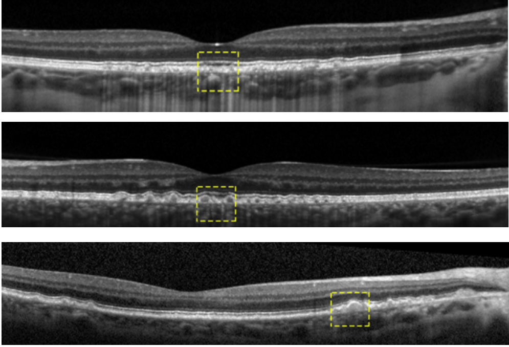
OCT能够更清晰地显示表皮玻璃疣对视网膜色素上皮的破坏,是诊断表皮玻璃疣和监测其进展的关键工具。表皮玻璃疣的OCT分型:1型,视网膜色素上皮基底膜浅层隆起,内容物难以分辨;2型,三角状隆起伴"锯齿状"外观,内部低反射;3型,色素上皮基底层圆顶状宽基底隆起(图8)。


图片

图8.OCT显示的表皮玻璃疣表型。1型模式的特点是视网膜色素上皮浅层隆起(上图)。2型模式表皮玻璃疣呈角状隆起伴“锯齿状”外观(中图)。3型表皮玻璃疣表现为色素上皮基底膜丘状隆起(下图)。

 

目前,表皮玻璃疣的治疗主要针对其继发的黄斑新生血管,其余一般无需特殊治疗。研究表明玻璃体腔注射抗VEGF药物能有效减少表皮玻璃疣合并黄斑新生血管患者的复发率,从而延缓视力下降。本例患者右眼接受抗VEGF治疗3次。在最后一次注射4周后,患者自述视物变形症状消失,右眼最佳矫正视力提升至0.4,取得不错的疗效。

 





相关推荐

  • 警惕“斗鸡眼”的突然出现——认识急性共同性内斜视

  • 日韩网红眼药水含高风险成分,2025药监局紧急警示:泪膜崩溃、角膜损伤风险激增

  • 临床上容易忽视的微小斜视:单眼注视综合征临床特征解析

协会简介

更多

中国非公立医疗机构协会经国务院批准,于2014年在北京成立,是全国唯一从事非公立医疗卫生机构行业服务和行业管理的国家级行业组织,英文名称为Chinese Non-government Medical Institutions Association(CNMIA),眼科专业委员会成立于2016年。